.
.
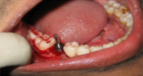
After a detailed planning phase which involves diagnostic impressions, radiographs and CT Scans, the dental implants will be placed into your jaw bone under local or general anesthesia. In certain conditions, we can go ahead and immediately restore these dental implants and you can walk out of the surgery with brand new teeth. In some cases, we will have to wait for a certain time period to ensure that the bone around the implant is healed before we replace the missing tooth or teeth.
We practice implant dentistry under local, general or sedation anesthesia. All of these options will be discussed at the time of your appointment.



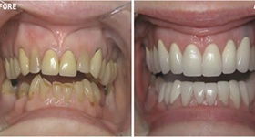
Crowns (caps) are used to cover teeth that are weakened by decay, severely damaged, chipped or discolored. Crowns are frequently on teeth required after root canal therapy on molars on premolars to protect them from fracture. The tooth is shaped to support the crown. Crowns can be metallic or metal-free. The advantage of metal free crowns, such as Zirconia and E.max, are the masking of the gray hue on the gum line caused by the silver colored metal. In certain situations, computer technology is also utilized to fabricate these metal free restorations at Amrapali Dental Clinic. Contact us to find out if you are a candidate for metal-free restorations. While implant dentistry has decreased the need for bridges, we at Amrapali Dental Clinic still frequently use the classical bridge to replace a missing tooth. Two or more teeth on either side of a missing tooth are shaped to receive a bridge. Bridges can also be metallic or metal free.



One of the challenges which a patient who needs complicated dental work faces is the difficulty in finding a dentist who can provide all the required dental services under one roof. At Amrapali Dental Clinic, we are no strangers to this and have been providing comprehensive dental care required for a full mouth rehabilitation for over two decades.
A patient who requires a full mouth rehabilitation will need the services of a Prosthodontist, Endodontist, Oral Surgeon and frequently an Orthodontist, who are all available at Amrapali Dental Clinic. In addition, the time required for a full mouth rehabilitation can be greatly expedited by having an in-house laboratory, which is one of the signature features of Amrapali Dental Clinic.
All of your oral surgical needs, including implant placement, crown and bridge work, veneers and root canals are done at Amrapali Dental Clinic. If all this sounds a bit too daunting to you, don’t fret, we were one of the first comprehensive dental centers to offer Sedation Dentistry as an option.
All of the diagnostic imaging, including the radiographs and CT Scans, are also done at Amrapali Dental Clinic.



Oral Cancer is a rapidly growing epidemic affecting India and the world and is proving to be a major health challenge. Frequently, pre-cancer and oral cancer is diagnosed at the Dental Office, and at Amrapali Dental Clinic our highly trained team always keeps a vigilant eye for potential cancerous lesions. As always, we stress that prevention is better than cure and we will give you friendly advice about the lifestyle changes you can make to possibly prevent oral cancer.



Dentures help to restore a patient’s smile and the ability to chew and speak clearly after some or all teeth are lost. At Amrapali Dental Clinic, we pride ourselves on using the revolutionary injection molded process to fabricate our complete and partial dentures, resulting in the highest strength, durability and esthetics. We also specialize in fabricating complete or partial overdentures, where we use dental implants to anchor the denture more effectively providing our patients with a greater sense of comfort with better function



When a tooth becomes infected or damaged, root canal treatment is often the only way to save your tooth and repair the damage. Infection spreads to the bone and tissues and an abscess forms at the roots.
The treatment involves clearing the infection after numbing the tooth by a cleaning and disinfecting process of the roots. The root canals are then filled with an inert material and sealed. A crown has to be placed following the treatment to protect the tooth from further damage.



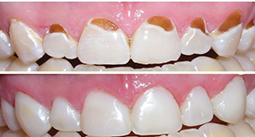
At Amrapali Dental Clinic, we use the latest generation composite bonding materials to restore minor cavities and chipped teeth. Many of our patients also prefer to have old silver amalgam fillings replaced in their mouth with the tooth coloured composite fillings, and Amrapali Dental Clinic is happy to provide this service. Recent advances have introduced Nano-composites which have nano-meter sized particles for the best esthetic and functional result.



Orthodontics is the branch of dentistry which deals with the alignment of irregular or crooked teeth. While most people are treated with orthodontic braces in their teens, we at Amrapali Dental believe the best time to be examined by a dentist is when a child is six years old. Frequently, we are able to avoid major orthodontic work in later years by using space maintaining devices to avoid overcrowding of teeth.
Thanks to recent advances, the metallic orthodontic brackets which we’re so used to seeing can now be replaced by a far less conspicuous ceramic, see through bracket, so braces don’t have to make you or your children self conscious anymore. We also specialize in lingual orthodontics, where we place the orthodontic wire on the back surface of your teeth, completely out of sight. In certain cases, you might also be a candidate for the revolutionary new Invisalign clear orthodontic trays.
Remember, there is no age limit to start orthodontic treatment. Orthodontics for adults is very popular worldwide, and the orthodontists at Amrapali Dental Clinic will work to align your teeth beautifully to give you that smile which makes you look as young as you feel !



Invisalign treatment is an alternative to traditional orthodontic braces where a set of clear trays are custom made for your mouth using computer software and work towards the alignment of your teeth. Invisalign is a great option for the student or professional with an active social life; it is the least conspicuous and probably the most convenient of all orthodontic treatment. Invisalign usually works best when there is a minimal amount of misaligned teeth, so consult with Amrapali Dental Clinic today to find out if this is a suitable treatment option for you.



We at Amrapali Dental Clinic advise a professional teeth cleaning by a dental hygienist every 4-6 months. This procedure removes the deposits on your teeth which tend to build up over time and leaves your mouth feeling sparkling clean. A cleaning also helps reduce inflammation of the gums which occur due to constant irritation by food particles. A cleaning usually takes about 30-45 minutes.



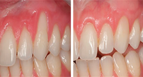
Periodontal treatment is one of the most important fields in dentistry as it maintains the health of your gums and tissues, which is the foundation of your oral health. Amrapali Dental Clinic provides all periodontal services including periodontal pocket surgery, crown lengthening, deep cleanings, bone and soft tissue grafting and gum reduction surgery. The periodontist works in conjunction with the restorative dentist to achieve the ideal esthetic and functional result for you. At Amrapali Dental Clinic , we strive for preventive care, and most periodontal disease can be treated with regular flossing and tooth-brushing.



Amrapali Dental Clinic has a team of Oral Surgeons to deal with all your surgical needs, be it extractions of teeth, removal of impacted wisdom teeth, placement of dental implants and removal of cysts or other pathology. Remember, you can opt to have all these oral surgical procedures done under Sedation for the greatest



As a parent, we understand the concern you have for the health of your children’s dental health. We at Amrapali Dental Clinic work with you to minimize the amount of dental work your children will need as adults by taking an early, proactive approach in the maintenance of your child’s oral health. Dental care for children requires the services of a highly trained specialist, and your children will be met by our child care specialist (pedodontist) who will walk you and your children through the importance of oral hygiene for developing teeth. We will also evaluate the need for any type of space maintaining devices to avoid overcrowding in the future, which frequently reduces the need for future orthodontic braces. Amrapali Dental Clinic is a firm believer in the use of sealants, which are a protective coating placed on teeth which can prevent cavities on that tooth surface. Early visits to the dentist have the added benefit of making your child much less fearful of the dentist as an adult.
We also offer local, general and sedation anesthesia options for our young patients.



Dental treatment is an anxiety-inducing event for many of us. While Amrapali Dental Clinic has always practiced pain-free dentistry, we decided to go one step further for our patients comfort and have introduced Sedation Dentistry or Conscious Sedation. With the use of medications or nitrous oxide gas in the presence of a trained anesthesiologist, you will be transported from a state of anxiety to great comfort and relaxation while the dental procedure is completed. Patients who have undergone this procedure at Amrapali Dental Clinic state that they only have a vague recollection of the surgical procedure being done. We use sedation at Amrapali Dental Clinic for patients who have a fear of surgical procedures including implant placement, extractions and gum surgery with great, positive results.



Bleaching is the simplest way to brighten your smile. Discoloration caused by food and lifestyle habits can be lightened to reveal a glowing smile. Using the Britesmile technique, a bleaching solution is applied to the teeth and activated with a special light in the dental clinic. Alternatively, a bleaching gel is provided to you to be used with a custom made tray at home. Your teeth can become 5-6 shades lighter. Depending on your lifestyle, you may need to bleach periodically.



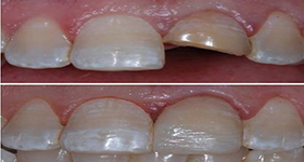
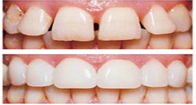
Veneers are thin ceramic shells bonded on to the surfaces of minimally prepared teeth. Veneers can correct or camouflage severe discoloration, chipped teeth, gaps between teeth and malpositioned teeth. Two or three visits are all it takes for a complete Smile Makeover. You will also be evaluate the final result before the start of veneer treatment with a mock up smile makeover. Veneers can only be done when there is adequate natural tooth structure remaining for cementation of the veneers



Painless dentistry has entered a new era with Lasers. An amplified high energy light source replaces the dental drill and scalpel which patients have feared for many years. At Amrapali Dental Clinic, we use Dental lasers for the following applications:
As patients typically feel less pain with Lasers when compared to the drill, little or no anesthesia is needed when a laser is used. If you hate the sound of the dental drill, you will love the laser.
The use of the Dental laser depends on your clinical situation, and your eligibility for its use will be determined at the time of treatment planning.



Amrapali Dental Clinic has had an in-house laboratory since it’s inception, and our laboratory has grown from strength to strength. Our lead ceramist and dental technicians work together to create the most beautiful esthetics achievable with the latest technology including metal free Zirconia and E.max crowns, injection molded dentures and computer aided design and milling. The major advantage of an in-house laboratory is the quick turnaround time and the great degree of quality control we have on laboratory work.
At Amrapali Dental Clinic , we strongly believe that the best way for you and your family to maintain your oral health is to be proactive about the care of your mouth. While Amrapali Dental Clinic uses the highest quality restorative materials to bring back your beautiful smile, we are conservatives at heart and do our best to protect your natural teeth with preventive measures. We focus on educating patients on proper tooth brushing technique, proper flossing technique, the importance of fluoride therapy, the effects of adverse oral habits like smoking and chewing tobacco and the need for regular dental checkups. We also stress the continuing care of your oral health after the completion of treatment, because your home care is the single most important factor that determines the success of your dental treatment.
In addition, the Amrapali Dental Clinic team regularly participates in free community oral health initiatives to educate the general public about the benefits of maintaining good oral hygiene. Your mother was absolutely right, prevention is better than cure.










The first step is to choose a good toothbrush. You always want to use a soft brush with a small head. A soft brush is hard enough to remove plaque, yet gentle enough not to damage your teeth or gums.
The next issue is to select good toothpaste. In general, any toothpaste that contains Fluoride will do the job, unless you have special needs that are determined by your dentist. Two of the best brands of toothpaste are Colgate Total and Crest Multicare.
The first rule of brushing is to start from a specific location and work your way to the opposite side, continuing all the way through the whole mouth so that you end where you started. This way you won't miss any area. Usually a pea-sized amount of toothpaste is enough. An adequate brushing should take at least 2 minutes and preferably around 4 minutes.

The surfaces between teeth are not easily accessible by toothbrush; therefore, the best way to clean them is by flossing. The ideal frequency for flossing is like brushing: ideally after each meal, though one time a day (before going to bed) is the minimum necessary.
To start, cut a piece of dental floss (approximately 2 feet). Wrap both sides of the floss around your middle fingers. Using your index and thumb, glide the floss in between all of your teeth one by one. When flossing, make sure you are not cutting your gums. The goal is to clean the teeth surfaces, not the gums. In the space in between the teeth, press the floss against each side of the tooth (hug the tooth) and gently move it back and forth and up and down. Then move to the opposite surface of the adjacent tooth.
If you have any questions about flossing your teeth and you live in Ahmedabad or the surrounding area, give us a call today!
There have been multiple studies comparing the effectiveness of manual brushes and electric brushes.
Although not all electric brushes are the same, these studies conclude that, in general, electric brushes are more efficient in controlling plaque than manual brushes. Theoretically, you can do a very good brushing with a regular hand brush, but the movements of an electric brush make the task easier and more effective.
Also, some electric brushes (Sonicare) produce sonic vibrations that are difficult to mimic with a hand brush! Other electric brushes like Oral-B and Rotadent have small heads that help you access hard-to-reach areas of your mouth. This aspect is more important when you are talking about someone with orthodontic braces or a history of gum disease.
If you have any questions about electric toothbrushes and you live in Ahmedabad or the surrounding area, give us a call today!

There are a few different causes of bad breath. Ranging from stomach problems to diet and teeth problems, most of the causes can be found in the mouth. They are:
Sugar is the main cause of dental decay when bacteria are present. However, the frequency of your sugar consumption is more significant than the amount of sugar you eat. Probably the worst thing you can do to your teeth is to drink a soda and have a sip every few minutes over a long period of time; the same is true for snacking. It is recommended that if you want to have a snack, soda, or juice, it is better to have it after food, as dessert, or have it in one sitting. Eating or drinking something sweet over an extended period of time creates a constant supply of sugar for bacteria that causes tooth decay! It is important to be aware of all the possible sources of sugar out there. It is not just everything that is sweet, but anything that can turn to sugar, like pieces of bread. Cutting down your sugar intake is good for cavity prevention, as well as your general health. But what about when you have to have sugar? The best way to avoid cavities is to prevent the sugar from staying next to your teeth. Brushing after eating sugar, rinsing your mouth with Fluoride mouth wash, or chewing sugarless gum can help. However, nothing has the effect of avoiding sugar! Is there any kind of food that prevents tooth decay? Well, not really. Some people believe that chewing foods like apples and carrots may have some plaque removal effects, but they still contain some sugar, so any advantage is not clear. Another group of food that causes significant damage to teeth structure is acidic food. If in frequent contact with teeth, things like limes, lemons, and grapefruits can cause serious irreversible damage (erosion) to your teeth. If you live in or around Ahmedabad, don't hesitate to call us with your oral health questions.

Many years ago scientists started to notice that children who were born and raised in areas with natural fluoride in drinking water had fewer cavities than children in other areas. Fluoride absorbed by your body when teeth were forming (during mother’s pregnancy to early childhood) integrates into the structure of enamel and makes it stronger.
After teeth eruption, fluoride found in your toothpaste, mouthwash, or in what your dentist places on your teeth still has a positive effect on your teeth. It strengthens the enamel and reduces the chance of tooth decay.
If you have children and live in an area that has no fluoride in its drinking water, you should consult your dentist and physician about fluoride tablets that are available for children.
If you have any questions about Fluoride treatment and you live in Ahmedabad or surrounding area, give us a call today!